Patricia Kodish

Patricia Kodish: Realigned my profile

Date: October 15, 2013

Dear Dr Garita and Janny

It was so good to hear from you. Of course….please share my email.

https://www.dentalimplantscr.com/wp-content/uploads/2013/10/Patricia-Kodish.jpg

Janny, I would enjoy sharing my experience with you.

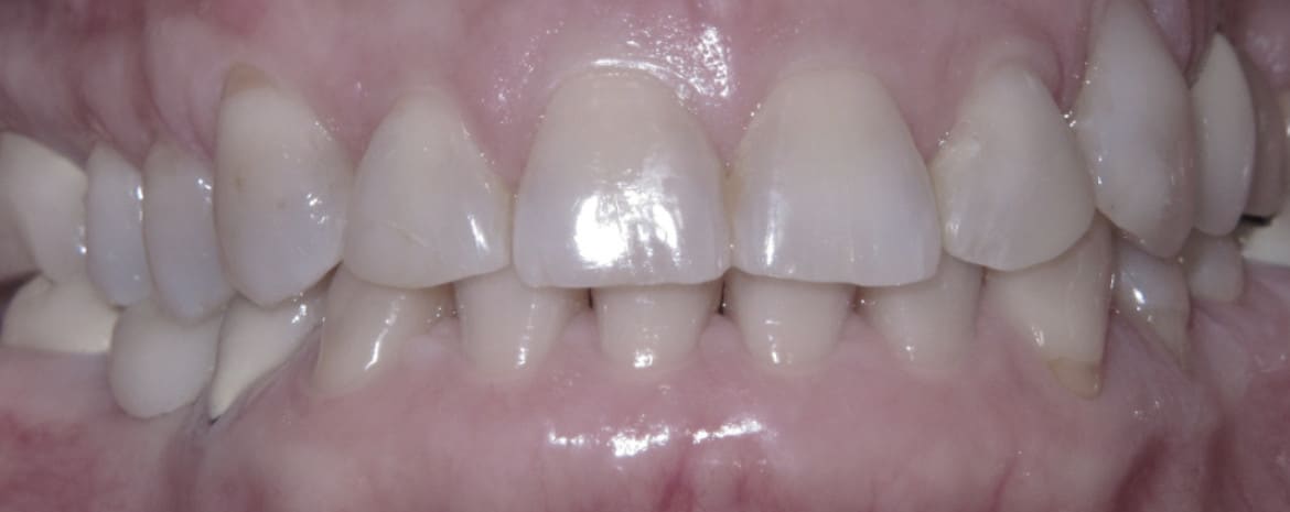
I was married to a dentist for 26 years (now divorced), was president of the American Dental Auxiliary, and my sister in law teaches at a dental school, so I know the field very well. Which is why it was shocking to me personally that I was having so many problems.

I had a very difficult case and I required a full mouth reconstruction. My case was evaluated by a study group of 10 dentists here in the United States. My total treatment here would have taken about a year, and cost over $50,000.

Dr Garita was recommended to me by friend who had a similar issue. After many months of research and speaking with Ana and Dr Garita, I was 100% sure that Dr Garita was the one who could restore my smile at 1/3 the cost.

I was impressed with the staff, the office, the expertise and the compassion showed by Dr Garita and his wonderful staff.

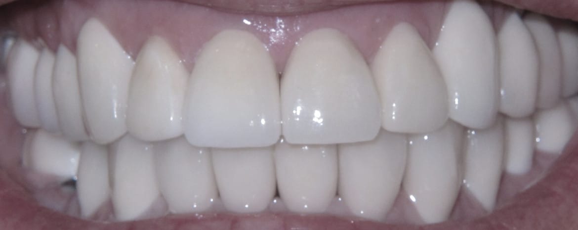
The dental work is of the highest excellence, best materials, but most importantly, Dr Garita has a gift of seeing the whole picture, instead of the piece meal approach. Dr. Garita has the rare ability to recreate the dentition to be in alignment with the facial proportions, which realigned my profile, and added balance and fullness to my face which was at one time appearing collapsed.

See pictures below…I couldn’t be happier! I have referred many friends since to consider dental work abroad with Dr Garita.

Warmest regards,

Patricia Kodish
Florida, USA

SavingMy total treatment here (in the U.S.) would have taken about a year, and cost over $50,000.

Dr Garita was the one who could restore my smile at 1/3 the cost.

Feel the same dental experience

Fill the form